Read-Only Archive — 68,067 posts · 4,889 threads · 2,978 members · preserved from 2006–2015
Nope. Even that doesn't help. :)=)
24 row planter on JD tractor. My dad sent me this picture. They planted his 108 acres in just a couple hours.
}:)
quickie map I made for a guy coming to work at the new building

offroadaz wrote:quickie map I made for a guy coming to work at the new building

You work really close to my house.
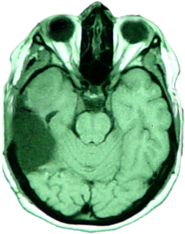
One of my customer's brain scan after softball size cancerous tumor was removed.

Skatchkins wrote:
I love it! Looks great!
Skatchkins wrote:
giggle.
awesome.
Center of the flag instead of center of the black part, huh. Dang literal screen printers. LOL
Sc00by wrote:Now that's just nasty...
X2. Well said, buddy. What else can they can whole? Lambs? Ducks? Small Rodents...
Well, I was looking for Moab photos to post in the Moab Pic of the Day.
